| 診療時間 | 月 | 火 | 水 | 木 | 金 | 土 | 日 |
|---|---|---|---|---|---|---|---|
| 9:00〜12:30 | ○ | ○ | ○ | △ | ○ | ○ | × |
| 13:30〜17:30 | ○ | ○ | ○ | △ | ○ | ○ | × |

こんなお悩みありませんか?
次の質問で1つでもあてはまったら、姫路市「ひめじオリビエ歯科クリニック」までご相談下さい。

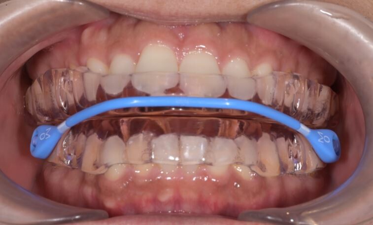
| 保険適用マウスピース | ソムノメッド(推奨) | |
| 費用(目安) | 約15,000円 | 150,000円 |
| 構造 | 上下一体型(固定) | 上下分離型(自由度高) |
| 顎への影響 | 顎関節への負担が大きい | 顎関節に優しく快適 |
| 装着時の会話 | 不可 | 可能 |
| 調整の精密さ | 困難 | ネジで1mm単位の微調整可 |
| 耐久性 | 標準的 | 非常に高い(数年使用可能) |




